متخصص ایمپلنت اصفهان

تعداد نظرات :0
آنچه در این مقاله میخوانید ..

انتخاب یک متخصص ایمپلنت در اصفهان که دارای تجربه، مهارت و اعتبار حرفه‌ای باشد، نقش مهمی در موفقیت درمان‌های دندانپزشکی شما ایفا می‌کند. در این صفحه، مجموعه‌ای از پزشکان معتبر این حوزه به همراه آدرس مطب، شماره تماس، سوابق تخصصی و ساعات کاری معرفی شده‌اند تا بیماران بتوانند با اطمینان و سهولت، نسبت به برقراری تماس یا مراجعه حضوری اقدام نمایند.

لیست متخصص ایمپلنت در اصفهان

دکتر محمد عاطفت دکتر ایمپلنت اصفهان

دکتر محمد عاطفت

خدمات دندانپزشکی زیبایی و ترمیی و کاشت ایمپلنت اصفهان

دکتر محمد عاطفت، متخصص دندانپزشکی ترمیمی و زیبایی با بورد تخصصی از دانشگاه علوم پزشکی همدان، یکی از برجسته‌ترین متخصصان ایمپلنت دندان در اصفهان محسوب می‌شود. در کلینیک دکتر عاطفت، خدمات متنوع ایمپلنت دندان شامل ایمپلنت فوری، لیزری، دیجیتال، پانچ، بدون جراحی و ایمپلنت‌های زیرکونیا و سوئیسی ارائه می‌شود. همچنین تخصص ایشان در اصلاح طرح لبخند، ونیر کامپوزیت، روکش لومینیرز و لمینت دندان، باعث شده نام وی در زمره بهترین متخصصان ایمپلنت در اصفهان قرار گیرد.

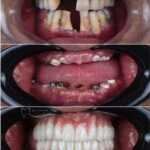
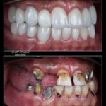
نمونه کار دکتر عاطفت متخصص ایمپلنت در اصفهان

دکتر مهدی ابرشمی

خدمات تخصصی جراح فک، دهان و صورت

دکتر مهدی ابریشیمی دارای دکترای دندانپزشکی و تخصص در رشته جراحی دهان، فک و صورت، و از اعضای هیأت علمی دانشگاه آزاد اسلامی اصفهان هستند. ایشان با بهره‌گیری از تکنولوژی دیجیتال در ایمپلنت‌ولوژی، خدمات تخصصی ایمپلنت دیجیتال و ایمپلنت فوری را همراه با جراحی دندان عقل، کیست و تومور دهان ارائه می‌دهند.

دکتر آرش گلستانه دکتر ایمپلنت در اصفهان

دکتر آرش گلستانه

خدمات جراحی دهان، فک، صورت و زیبایی و ایمپلنت اصفهان

دکتر آرش گلستانه متخصص جراحی دهان، فک، صورت و زیبایی و ایمپلنت اصفهان است. وی هم چنین عضو هیئت علمی دانشگاه با نظام پزشکی 71444 نیز می باشد.

دکتر فرهاد اسماعیلی جراح ایمپلنت اصفهان

دکتر فرهاد اسماعیلی

متخصص در حوزه ایمپلنت دیجیتال در اصفهان

دکتر فرهاد اسماعیلی حدود 18 سال سابقه کار در مطب و کلینیک ها دارد. وی هم چنین در دانشگاه آزاد نیز تدریس می کند و موفق به اخذ مدارک مربوط به انجمن های علمی بزرگ جهان هم چون عضویت در آکادمی های بزرگ علمی و پژوهش جهان در زمینه های ایمپلنت و زیبایی شده است. از خدمات دکتر فرهاد اسماعیلی می توان به: ایمپلنت؛ ترمیمی و زیبایی؛ درمان ریشه؛ پروتز؛ جراحی؛ کلیه خدمات دندانپزشکی دیجیتال مانند کاشت دندان به روش دیجیتال و طراحی لبخند دیجیتال اشاره کرد.

بهترین دکتر ایمپلنت اصفهان چه کسی است؟

برای پیدا کردن بهترین دکتر ایمپلنت در اصفهان باید به عواملی مانند سابقه کاری، میزان رضایت بیماران، استفاده از تجهیزات مدرن، موقعیت کلینیک و تخصص دندانپزشک توجه کرد. بررسی نظرات مراجعین قبلی، مشاهده نمونه کارها و مراجعه به کلینیک‌های معتبر دندانپزشکی در اصفهان می‌تواند در انتخاب صحیح کمک‌کننده باشد. اگر به دنبال یک لیست کامل از متخصصان ایمپلنت در اصفهان هستید، می‌توانید همین حالا به ابتدای همین صفحه مراجعه کرده و گزینه‌های پیشنهادی را مشاهده و مقایسه کنید.

دیدگاهتان را بنویسید

نشانی ایمیل شما منتشر نخواهد شد. بخش‌های موردنیاز علامت‌گذاری شده‌اند *